We need your help now

Support from readers like you keeps The Journal open.

You are visiting us because we have something you value. Independent, unbiased news that tells the truth. Advertising revenue goes some way to support our mission, but this year it has not been enough.

If you've seen value in our reporting, please contribute what you can, so we can continue to produce accurate and meaningful journalism. For everyone who needs it.

brain image via via Shutterstock

This is what happens in your brain when you fancy someone

You can blame your medial prefrontal cortex. It’s so romantic.

WHEN YOU FEEL that irresistible pull to the face or body of a stranger you can blame your… medial prefrontal cortex.

That’s the brain region responsible for “love at first sight” researchers say. This brain region gets more active when you see someone that you are physically attracted to.

In their studies they scanned the brains of speed daters. Potential dates that lit up the dorsomedial prefrontal cortex the most were more likely to be picked for a date.

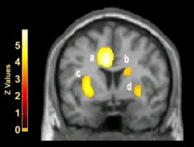
Another study found four brain regions that were specially activated when watching sexually explicit films (and not when watching neutral or comedic films).

The four spots of the brain that activate when watching a sexually explicit film. (Fonteille, et al, Sexologies, 2011)

As detailed by ScienceAGoGo:

  • The first was the inferior temporal cortex, a region also corresponding to the visual associative zone. The researchers inferred that the subject was assessing and analysing the visual stimulus when this zone was activated, corresponding to the perceptive-cognitive component of sexual arousal.
  • The second region was the right orbitofrontal cortex, which might be related to emotional and motivational phenomena.
  • The third area was the left anterior cingulate cortex, which appears to control primary physiological responses (endocrine and autonomic), but also affective responses, to sexual stimuli. In other words, it would govern physical and psychological preparation for sexual activity.
  • The fourth region was the right insula, that could be involved in subjective perception of physiological modifications associated with arousal (heart rate acceleration, penile erection, etc.)
  • Finally, the right caudate nucleus probably controls whether sexual arousal is followed by sexual activity.

The researchers also saw that testosterone levels rose during the sexually explicit film. Hormones like testosterone and oestrogen are what modulate our sexual desires — they increase when we hit puberty.

The brain cells in these regions was the release of neurotransmitters — the chemicals that communicate between our brain cells. These include the “feel good” chemical dopamine, the “fight-or-flight” chemical adrenaline, and serotonin. As described by researchers at the University of Bristol in the UK:

Adrenaline: The initial stages of falling for someone activates your stress response, increasing your blood levels of adrenalin and cortisol. This has the charming effect that when you unexpectedly bump into your new love, you start to sweat, your heart races and your mouth goes dry.

Dopamine: Helen Fisher [of Rutgers University] asked newly ‘love struck’ couples to have their brains examined and discovered they have high levels of the neurotransmitter dopamine. This chemical stimulates ‘desire and reward’ by triggering an intense rush of pleasure. It has the same effect on the brain as taking cocaine!

Fisher suggests “couples often show the signs of surging dopamine: increased energy, less need for sleep or food, focused attention and exquisite delight in smallest details of this novel relationship.”

Serotonin: And finally, serotonin. One of love’s most important chemicals that may explain why when you’re falling in love, your new lover keeps popping into your thoughts.

- Jennifer Welsh

Readers like you are keeping these stories free for everyone...
A mix of advertising and supporting contributions helps keep paywalls away from valuable information like this article. Over 5,000 readers like you have already stepped up and support us with a monthly payment or a once-off donation.

Published with permission from
View 22 comments
Close
22 Comments
    Submit a report
    Please help us understand how this comment violates our community guidelines.
    Thank you for the feedback
    Your feedback has been sent to our team for review.
    JournalTv
    News in 60 seconds