Share your views on our Irish-language content

We need your help now

Support from readers like you keeps The Journal open.

You are visiting us because we have something you value. Independent, unbiased news that tells the truth. Advertising revenue goes some way to support our mission, but this year it has not been enough.

If you've seen value in our reporting, please contribute what you can, so we can continue to produce accurate and meaningful journalism. For everyone who needs it.

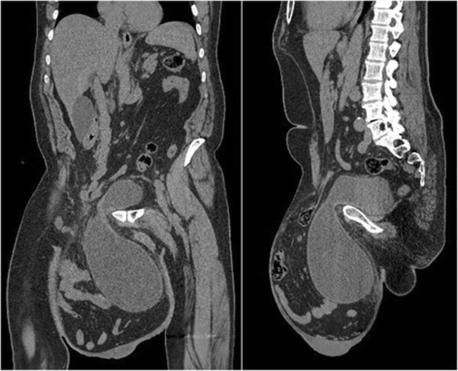
Man has football-sized hernia removed from his scrotum after 12 years

He only sought help when he suffered discomfort having sex.

*THIS ARTICLE CONTAINS GRAPHIC IMAGES*

A MOROCCAN MAN had a hernia the size of a football removed from his scrotum after it became so large he couldn’t walk.

The case was outlined in the Journal of Medical Case Reports and published over the weekend.

The man had been diagnosed with a giant inguinoscrotal hernia, an extremely rare condition which appears only after years of neglect or the lack of an accessible surgical facility.

The man had refused surgical treatment for the hernia for 12 years.

He reported a large swelling that was gradually getting bigger and had reached below the level of his mid-thigh. He also described episodic abdominal pain and increasingly difficult urination.

GRAPHIC PHOTOS BELOW

Hernia Tarchouli et al. Journal of Medical Case Reports 2015 Tarchouli et al. Journal of Medical Case Reports 2015

Massive hernia Tarchouli et al. Journal of Medical Case Reports 2015 Tarchouli et al. Journal of Medical Case Reports 2015

He was unable to walk or have sex, which finally convinced him to get surgery.

Doctors said the hernia was around 30cm in diameter, around the size of a football.

They said because he had left it so long, the procedure could have killed him.

However, the surgery was a success and the hernia had not returned after six months.

Read: Man with seven-week-long erection treated at Dublin hospital

Readers like you are keeping these stories free for everyone...
A mix of advertising and supporting contributions helps keep paywalls away from valuable information like this article. Over 5,000 readers like you have already stepped up and support us with a monthly payment or a once-off donation.

Close
44 Comments
    Submit a report
    Please help us understand how this comment violates our community guidelines.
    Thank you for the feedback
    Your feedback has been sent to our team for review.
    JournalTv
    News in 60 seconds